Photo Gallery
- Breast Augmentation
- Breast Reduction
- Eyelid Surgery
- Facelift
- Liposuction
- Nose Surgery
- Tummy Tuck
FAQ's
What is Plastic Surgery?
Plastic surgery is a surgical sub-specialty that deals with the healing and restoration of patients with injury, disfigurement or scarring resulting from trauma, disease or congenital defects.
Derived from Greek, the word plastic means molding or giving form and does not refer to the use of plastic materials.
It includes aesthetic, or cosmetic surgery to correct or rejuvenate facial and bodily features not pleasing to the patient.
What questions should I ask before choosing a plastic surgeon?
Are you certified by the American Board of Plastic Surgery?
-Dr. Kulwant S. Bhangoo is a ABPS Board Certified Plastic Surgeon.
Where will you perform my surgery?
-Depending on what surgery is being performed, you will be a patient at Mercy Hospital or the Center for Ambulatory Surgery in West Seneca.
How many procedures of this type have you performed?
-Dr. Bhangoo has many years of experience and has performed thousands of surgeries. Feel free to ask him any questions you may have.
Society Memberships
American Society of Plastic Surgeons

American Society for Aesthetic Plastic Surgery
Global Medical Excellence
Contact US
Office Location :
4 Cazenovia St.
Buffalo, NY 14220
By Phone (716) 826-4800
Email Dr. Bhangoo
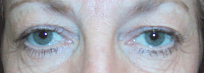
Blepharoplasty Photo Gallery
Images below are pre-operative and post-operative pictures of patients of Dr. Bhangoo.
Plastic Surgery Notes
Dr. Kulwant S. Bhangoo (MBCHB, FACS, FICS, FAIS, FRCS, [ENG, ED, GLASG]) is a World-Renowned Board Certified Surgeon. He has been practicing Plastic Surgery since 1975. He is qualified in all aspects of Plastic, Reconstructive and Cosmetic Surgery.
Patient Information
Patients of Dr. Bhangoo expect and receive the most professional, courteous, and thorough care
All information is kept completely confidential
Consultation with Dr. Bhangoo is precise and informative
Most Insurances Accepted
CareCredit Accepted
Dr. Bhangoo is an affiliated surgeon of Global Medical Excellence, The Standard for Global Access to Excellent Surgical Care at the Lowest Cost.
Buy the Book
Be Your Best - A Comprehensive Guide to Aesthetic Plastic Surgery

Dr. Bhangoo is a contributing expert to the book, Be Your Best - A Comprehensive Guide to Aesthetic Plastic Surgery.
Available at all office and skincare locations.
Contact Us Today
To Set Up Consultation
Please Call (716) 826-4800
Or email Dr. Bhangoo